Nos destacamos por tornar cada procedimento odontológico mais confortável e tranquilo possível, trazendo diversas especializações e resultados de transformação completa, trazendo diversas especializações e resultados de transformações completas
Desde cirurgias e implantes, até alinhadores, tratamento de canal, estética dental, dor orofacial e próteses fixas e removíveis.
Atendimento individualizado e qualificado com 30 anos de experiência
A Clínica Martelli traz como missão o desejo de transformar vidas através de sorrisos com especialidades para atender toda a família
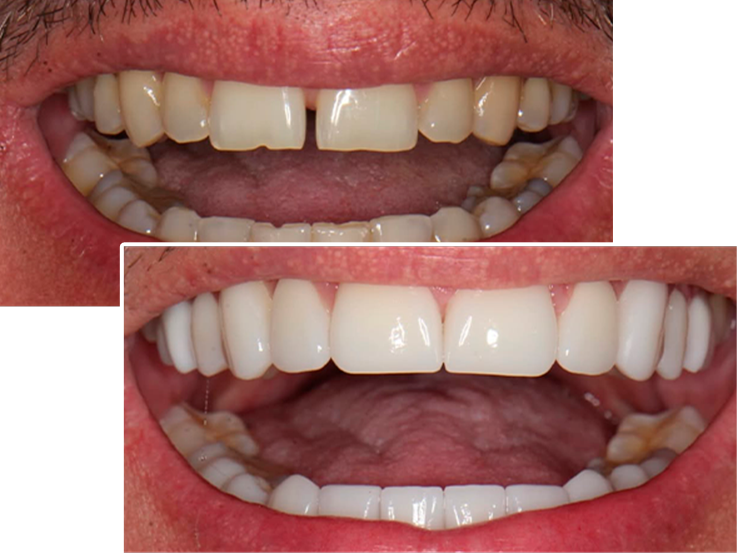
A perda dos nossos dentes afeta diretamente toda a nossa vida, seja na hora de comer com dificuldade e desconforto para mastigar, na hora de conversar com aquela insegurança de não ter mais seus dentes ou com o desconforto das próteses removíveis (dentaduras convencionais).
Por isso nós sabemos que o processo de reabilitação transforma vidas, como transformou a vida de dezenas de nossos pacientes em mais de 30 anos no mercado.
Próteses 100% fixas, como seus dentes naturais novamente.
Melhoria na fala e mais autoestima para sorrir.
Procedimento para toda a vida.
Especialistas em trazer mais saúde e alegria para toda a família, com procedimentos especiais focados no seu bem-estar.
Giovanna LisboaTrustindex verifica se a fonte original da avaliação é Google. Excelente clínica e profissionais incríveis! Monica BarrosTrustindex verifica se a fonte original da avaliação é Google. Atendimento especial, profissionais altamente capacitados. Super recomendo. Ricobras FacilitiesTrustindex verifica se a fonte original da avaliação é Google. Atendimento incrível! Um de nossos funcionários precisou de atendimento fora do horário comercial e fomos prontamente atendidos por profissionais excelentes. Alexandre SaltoTrustindex verifica se a fonte original da avaliação é Google. Excepcional o atendimento, muito profissional!!! Local maravilhoso, com muito cuidado com a higiene, alta tecnologia, e os profissionais são de primeiro mundo. Recomendo muito!!!! Ariane CristinaTrustindex verifica se a fonte original da avaliação é Google. Minha experiência foi simplesmente maravilhosa, profissionais atenciosos sem contar com a recepcionista super atenciosa, soube me responder em todas minhas dúvidas fora a paciência. Com certeza irei voltar mais vezes, atendimento excelente, ambiente agradável! Larissa JTrustindex verifica se a fonte original da avaliação é Google. Ótimo atendimento Priscilla UrsiniTrustindex verifica se a fonte original da avaliação é Google. O atendimento é otimoo!! Doutores super atenciosos!! Equipe toda maravilhosa 🥰🤩 Allan Werson PrivatTrustindex verifica se a fonte original da avaliação é Google. Profissionais atenciosos e qualificados, além de uma clínica muito completa. Obrigado
Alinhar os dentes nunca foi tão discreto e confortável. Os alinhadores invisíveis oferecem liberdade para sorrir durante todo o tratamento, sem o visual metálico dos aparelhos convencionais. São removíveis, práticos para a higiene e proporcionam resultados mais rápidos e previsíveis, graças à tecnologia de planejamento digital. Ideal para quem busca estética, conforto e eficiência em cada etapa do tratamento.
As facetas e lentes de contato dentárias são a escolha perfeita para quem deseja um sorriso harmônico, branco e alinhado sem grandes intervenções. Com aparência natural e alta durabilidade, elas corrigem imperfeições como manchas, espaçamentos e desgastes de forma minimamente invasiva. O resultado é um sorriso renovado, elegante e personalizado, valorizando a beleza única de cada paciente.

CRO: 25721
Fundador da Clínica Martelli, em 1995, é especialista em Ortodontia, Implantodontia e Radiologia. É Mestre em Radiologia e possui pós-graduações em dor orofacial, disfunções temporomandibulares (DTM) e estética dental.

CRO: 137450
Graduado em Odontologia pela Unesp Araraquara, é também especialista em Implantodontia pela São Leopoldo Mandic em Campinas e mestre em Odontologia pela Faculdade de Odontologia de Araraquara( Unesp)

CRO: 122234
Graduado em Odontologia pela Universidade de Araraquara (UNIARA) com cursos de atualização em Harmonização Orofacial (FAEPO) e Estética do Sorriso (FAEPO/Unesp). É especialista em estética dental pela Faculdade de Odontologia de Araraquara (Unesp)
Há quase três décadas, a Clínica Martelli dedica-se a transformar sorrisos com excelência e compromisso. Unindo tradição, tecnologia e um atendimento humanizado, oferecemos uma experiência odontológica completa — que vai muito além da estética. Aqui, cada detalhe é pensado para proporcionar conforto, segurança e resultados duradouros, refletindo nossa paixão por cuidar de pessoas e devolver autoestima através de um sorriso saudável.
Clínica Martelli @2025
Responsabilidade Técnica: Dr. José Alberto (122234)
Há 30 anos a Clínica Martelli vem transformando sorrisos e dando para nossos pacientes, um novo motivo pra sorrir todos os dias.
Fale conosco e tenha a melhor experiência odontológica da região de Santos-Sp.
Segunda a Sexta-feira
Das 09:00 – 19:00
Sábados
Das 09:00 – 13:00
Nossa clínica está localizada na rua Conselheiro Nébias, 703 – Boqueirão – Santos/SP